Cô gái đặc biệt bị thiếu hụt tiểu não vẫn sống được trong khoảng thời gian dài
Thiếu hụt tiểu não cũng là lý do khiến cô gái đến 6 tuổi mới biết nói, và 7 tuổi mới tự đi lại được. Cũng vì căn bệnh này mà cô chưa bao giờ biết vui chơi, chạy nhảy như những đứa trẻ khác.
Tạp chí New Scientist mới đây đã đưa tin về trường hợp một cô gái 24 tuổi người Trung Quốc sinh ra đã không có tiểu não, một bộ phận quan trọng của não bộ. Được biết, trường hợp của cô gái này là 1 trong số 9 ca bệnh thiếu hụt tiểu não vô cùng hiếm gặp trên thế giới.

Hình chụp X-quang não bộ của cô gái 24 tuổi.
Theo đó, căn bệnh kỳ lạ của cô gái chỉ được phát hiện ra sau khi cô tới Bệnh viện Đa khoa PLA Trung Quốc tại tỉnh Quảng Đông, Trung Quốc để thăm khám về tình trạng nôn mửa và chóng mặt. Kết quả chụp CT và MRI cho thấy, não bộ của cô bị thiếu mất tiểu não, một phần não bộ, chịu trách nhiệm điều khiển các hoạt động, vận động thể chất của cơ thể. Nằm ở vị trí sau cầu não và hành tủy, tiểu não chứa khoảng nửa nơ-ron thần kinh não bộ.
Thiếu hụt tiểu não cũng là lý do khiến cô gái đến 6 tuổi mới biết nói, và 7 tuổi mới tự đi lại được. Cũng vì căn bệnh này mà cô chưa bao giờ biết vui chơi, chạy nhảy như những đứa trẻ khác.

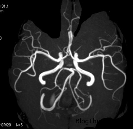
Hình ảnh chụp cộng hưởng từ.
Các kết quả kiểm tra khác cũng cho thấy, cô có thể nghe hiểu nhưng lại gặp khó khăn trong việc phát âm. Giọng của cô trầm và khó nghe. Tuy nhiên, may mắn bù lại, cô vẫn có một gia đình bé nhỏ với chồng và một cô con gái mà không bị biến chứng trong khi mang thai.
Căn bệnh thiếu hụt tiểu não hiếm tới nỗi y học thế giới mới chỉ ghi nhận được 9 trường hợp, trong đó, hầu hết đều qua đời sớm. Riêng trường hợp của cô gái này được đánh giá là đặc biệt vì cô có thể sống sót trong một khoảng thời gian khá dài.
Nguồn : Internet
































