Mắt kẹt sex toy trong âm đạo 10 mà ko hay biết
Người phụ nữ cho biết, cách đây 10 năm, cô thường sử dụng đồ chơi tình dục với bạn tình của mình. Vào thời điểm đó, cô đã say rượu nên không thể nhớ được đã bỏ đồ chơi tình dục ra hay chưa.
Mới đây, các bác sĩ của Bệnh viện Hoàng gia Aberdeen, Scotland đã tiếp nhận ca mắc kẹt dị vật trong cơ thể vô cùng hy hữu của một nữ bệnh nhân 38 tuổi xin giấu danh tính. Được biết, món đồ chơi tình dục đã nằm trong âm đạo của người phụ nữ này suốt 10 năm mà cô không hề hay biết.
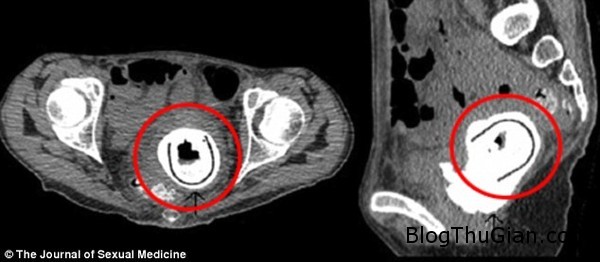
Sau một loạt những triệu chứng như sút cân nghiêm trọng, rùng mình, hôn mê, thậm chí là hơi ham muốn tình dục, người phụ nữ đã tới bệnh viện để khám. Các kết quả kiểm tra cho thấy một dị vật kỳ lạ đang nhô ra từ bàng quang. Sau ca phẫu thuật, các bác sĩ đã lấy ra một món đồ chơi tình dục có chiều dài 11cm.

Hình chụp X-quang âm đạo của người phụ nữ.
Người phụ nữ cho biết, cách đây 10 năm, cô thường sử dụng đồ chơi tình dục với bạn tình của mình. Vào thời điểm đó, cô đã say rượu nên không thể nhớ được đã bỏ đồ chơi tình dục ra hay chưa. Vì vậy, cô đã sống chung với dị vật trong âm đạo suốt nhiều năm mà không hay biết.
Được biết, người phụ nữ này mắc căn bệnh hiếm có tên thông bàng quang – âm đạo, một ống bất thường khiến nước tiểu chảy vào âm đạo. Ngoài ra, cô còn bị tắc đường tiết niệu. Sau khi gắp bỏ dị vật ra khỏi âm đạo cho nữ bệnh nhân này, các bác sĩ cũng tiến hành phẫu thuật chỉnh sửa dị tật âm đạo cho cô.
Các bác sĩ cho biết, đây là trường hợp đầu tiên mà đồ chơi tình dục lại mắc kẹt tại âm đạo của phụ nữ trong khoảng thời gian dài tới như vậy.
Nguồn : Internet
































