Bị đinh đâm vào tim vẫn sống sót
Một người thợ mộc ở Mỹ may mắn sống sót khi vô tình bị chiếc súng bắn đinh bắn trúng tim, chỉ cách vài mm là tới động mạch vành.
Ông Eugene Rakow kể lại vụ tai nạn sau khi đã phục hồi sức khỏe. Ảnh: Youtube
Tai nạn xảy ra khi ông Eugene Rakow, 58 tuổi, sống ở bang Minnesota, đang đóng sàn nhà cho người hàng xóm hôm 27/9. Chiếc đinh dài 3,5 inch (khoảng 7,6 cm) không may găm đúng vào ngực ông, cách động mạch vành chỉ 2mm.
“Khi đang cầm súng bắn đinh và bóp cò thì cái đinh bất ngờ nảy lên, đâm đúng ngực tôi”, ông Rakow kể. “Lúc đó tôi thấy mình không ổn chút nào”.
Ông Rakow lập tức gọi bà Michelle, vợ ông, để đưa ông đến bệnh viện.
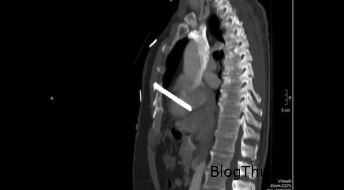
Kết quả chụp X-quang cho thấy chiếc đinh găm đúng vào tim ông Rakow, chỉ cách động mạch vành có 2mm. Ảnh: Youtube
Các bác sĩ tiến hành phẫu thuật tim cho ông Rakow nói rằng ông là người may mắn nhất thế giới khi vẫn còn sống sót sau tai nạn nguy hiểm trên. “Bác sĩ nói 9 trong 10 người sẽ không thể qua khỏi nếu họ rơi vào tình huống như tôi”, ông Rakow kể lại.
Theo Metro, hiện sức khỏe của ông Eugene Rakow, sống ở bang Minnesota, đã phục hồi và được xuất viện về nhà.
Theo ngôi sao



































Leave a Reply