Vẹo cột sống vẫn quyết theo nghề người mẫu
Một thiếu nữ trẻ ở Anh khiến nhiều người khâm phục khi vượt lên căn bệnh vẹo cột sống quái ác để theo đuổi con đường người mẫu chuyên nghiệp.
Leanne Roberts hạnh phúc khi được trở lại làm người mẫu chụp hình. Ảnh: Caters
Leanne Roberts, 18 tuổi, trở nên chán nản khi bị chẩn đoán mắc chứng vẹo cột sống nặng cách đây hai năm. Căn bệnh lạ khiến cột sống của cô cong như hình chữ S.
Roberts cho hay cô bắt đầu cảm thấy đau ở lưng năm 14 tuổi. Tuy nhiên, chỉ đến khi thường xuyên bị chứng đau lưng hành hạ mỗi lần chụp hình cho các tờ catalogue thời trang thì cô mới nói cho người thân biết.
Các bác sĩ nói rằng để khắc phục tình trạng khó chịu trên, Leanne Roberts phải trải qua cuộc phẫu thuật kéo dài 12 tiếng để chèn hai thanh kim loại vào hai bên cột sống. Thông báo này khiến cô gái trẻ lo sợ sẽ phải chấm dứt sự nghiệp người mẫu.
“Tôi bị đau thường xuyên và cảm thấy thế giới như sụp đổ. Tôi hoảng sợ khi nghĩ đến lúc trông mình thật thảm hại và phải ngồi trên xe lăn”, Express News dẫn lời Roberts tâm sự.
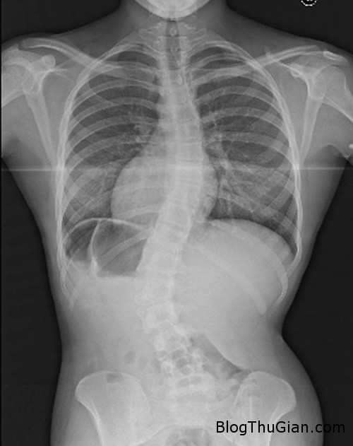
Cột sống của Leanne bị cong thành hình chữ S. Ảnh: Caters
Kiên quyết không thực hiện phẫu thuật, cô tìm kiếm thông tin trên mạng và phát hiện ra một cách chữa bệnh mới gồm các bài tập thể dục giúp cột sống cứng cáp hơn tại cơ sở SOS Scoliosis ở London.
Cô gái trẻ, đến từ Barnslet, phía nam hạt Yorkshire, cho biết: “Sau mấy ngày tập luyện, tôi thấy cột sống mình khác hơn. Theo tôi, mọi người nên tập thử trước khi đi đến quyết định tiến hành phẫu thuật. Dần dần tôi không còn thấy đau nữa, và chứng vẹo cột sống có vẻ ổn định dần. Tôi thấy thực sự hạnh phúc”.
Các bác sĩ cũng rất ngạc nhiên trước sự tiến triển của Roberts. Cô gái trẻ đã bắt đầu quay trở lại nghề người mẫu.
Đại diện cơ sở Scoliosis SOS nói: “Leanne nhận thấy cách điều trị của chúng tôi không gây ảnh hưởng gì và nếu có tác dụng thì cuộc sống cô ấy sẽ thay đổi. Chỉ trong vài tuần, Leanne không bị tỉnh dậy giữa đêm vì những cơn đau nữa. Cô ấy đã tìm lại được niềm đam mê của mình”.
Theo ngôi sao



































Leave a Reply